Vet Image Solutions, passionate about ultrasound. 

My Cart

CHRISTMAS WISHES!

The Vet Image Solutions office closes today at 5.30pm for the Christmas break. We will reopen on the 6th of January, but if you need any help between now and then, please email us - we will get back to you.

DRAMINSKI ISCAN USED FOR SEX DETERMINATION IN FISH

DRAMINSKI ISCAN USED FOR SEX DETERMINATION IN FISH

Gender determination in fish

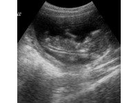
CANINE PREGNANCY AND ULTRASOUND IMAGING

CANINE PREGNANCY AND ULTRASOUND IMAGING

The gestation period greatly varies across species, ranging from the mammoth 480-590 day gestation of the sperm whale, to the more modest 340 equine gestation (I had to mention the horse!), to the relatively minute 21 day gestation of the mouse. The dog has a gestation period of around 61 days, which can be divided into four main stages. It is important for both breeders and veterinarians alike to be familiar with these stages to ensure that the pregnant dog is given the best possible care, and the pregnancy runs smoothly.

OH BOY…IT’S A GIRL?! FOETAL SEXING WITH ULTRASOUND

OH BOY…IT’S A GIRL?! FOETAL SEXING WITH ULTRASOUND

One of the most important applications for ultrasonography lies in the ability to determine the sex of the foetus prior to birth. From just 20 weeks of gestation during human pregnancy (and sometimes even earlier) ultrasound imaging can reveal whether the baby is a boy or a girl, thus allowing the expectant parents to plan accordingly. In addition, veterinary ultrasound can also be a useful tool to help detect whether the foetus is male or female. Vet Image Solutions stock a number of veterinary ultrasound machines that are suitable for use in foetal sexing.

The Year Of The Snake

The Year Of The Snake

Today marks the beginning of the Chinese year of the snake. 

Items 121 to 125 of 125 total

Show per page