Vet Image Solutions, passionate about ultrasound. 

My Cart

Blog by Vet Image Solutions

ULTRASOUND AND GOATS - A MATCH MADE IN HEAVEN?

The use of ultrasonography within the veterinary species allows rapid and non-invasive examination by the practitioner, with results obtained returned immediately. It is easy to see therefore why ultrasonographic examination would be the technology of choice for breeders, farmers and veterinarians. 

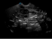
ULTRASOUND ARTEFACTS

ULTRASOUND ARTEFACTS

WHY VETERINARY ULTRASOUND AND THE BUFFALO IS A GOOD COMBINATION

WHY VETERINARY ULTRASOUND AND THE BUFFALO IS A GOOD COMBINATION

The Vet Image Solutions website aims to be a place that can offer and advise on all manner of veterinary-ultrasound matters, whilst offering state of the art scanners to suit every budget and every animal. Nevertheless, we are always on the lookout for research demonstrating the ever expanding applications for ultrasonography and the different types of animals that it can be used with. 

VET IMAGE SOLUTIONS IN 2015 AND WHAT WE CAN DO FOR YOU

VET IMAGE SOLUTIONS IN 2015 AND WHAT WE CAN DO FOR YOU

Along with a new year comes the usual flurry of New Year’s resolutions and promises in the hope that this year will be better than all the rest. Although we can’t predict what the future will hold, we can certainly make choices that can contribute to the kind of year that lies ahead.

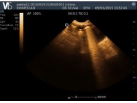
AN EXAMPLE OF ACOUSTIC SHADOWING

AN EXAMPLE OF ACOUSTIC SHADOWING

AN EXAMPLE OF ACOUSTIC SHADOWING

A FEW SIMPLE STEPS TO IMAGE OPTIMISATION

A FEW SIMPLE STEPS TO IMAGE OPTIMISATION

One of the most common questions is “how can I optimise my image on the [insert your ultrasound machine name here]?” It’s a great question, but it’s also one of the most difficult to answer quickly.

Items 139 to 144 of 255 total

Show per page